The Mouse Brain Library
Select      
 Site search   
  Home

Supported by

 

National Institute of Health

 

A Human Brain Project
A Human Brain Project
Untitled Document
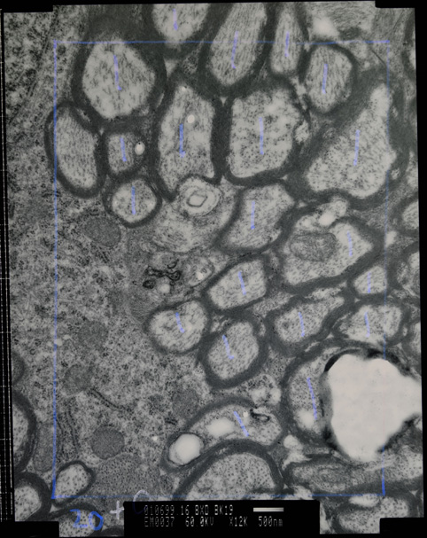
Microthumb
     Set #010699.16
Click on the micrograph to view another higher magnification. The current image is about 200 kilobytes and 500x600 pixels.
The next image is between 1 and 3 megabytes, and it is roughly 3000x4000 pixels.

A Human Brain Project/Neuroinformatics program funded by the National Institute of Mental Health,
National Institute on Drug Abuse, and the National Science Foundation (P20-MH 62009).
Web server statistics report since October 11, 2004 is available here
This page has been visited times! since 12-9-2005
© Copyright 2003 mbl.org