home
Browse the library
iScope
Brain Atlas
Brain Atlas
Procedures
Movies
Databases
MBL
 
Search     
joint2
 

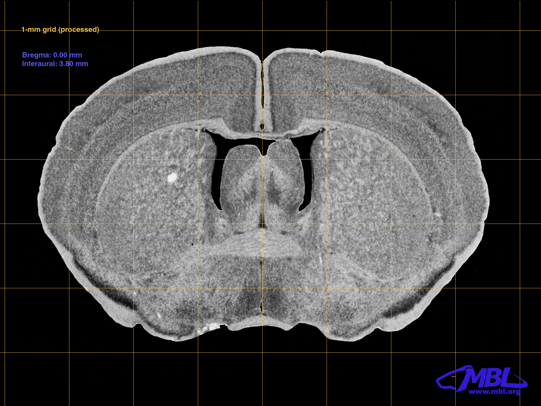
C57BL/6J Atlas - Section 16

Previous  |  Home  |  Next  >

Plain

(enlarged)
Labeled
(enlarged)
(abbreviations)
Real Grid

(enlarged)
In-Vivo Grid

(enlarged)
Interaural: 3.80 mm
Plug-in Required
Bregma Zero
Mouse Brain Section
Neurogenetics at UT Health Science Center
©1999 RW Williams, design by AG Williams, atlas by T Capra

Home | Brain Library | iScope | Brain Atlas | Procedures | Movies | Databases
  © Copyright 2003 mbl.org
A Human Brain Project/Neuroinformatics program funded by the National Institute of Mental Health, National Institute on Drug Abuse, and the National Science Foundation (P20-MH 62009).